2025年10月25日至28日,美国经导管心血管治疗学术会议(TCT)在美国旧金山召开。北京朝阳医院心脏中心副主任、心内科主任赵林团队受邀亮相“Cases with the Masters”专题论坛,携手全球冠脉介入领域的顶尖专家,共同呈现高难度病例演示。
团队凭借三例精彩的真实病例与一项创新研究成果,充分展示了中国介入团队在复杂冠心病诊疗领域的技术深度与临床思维,与国际专家就复杂病变的处置策略、技术选择及术中挑战展开深入交流,在观点碰撞中激发诊疗理念革新,推动中国介入医学成果走向国际。

朝阳医院心脏中心副主任李红带队赴美参加TCT
分享一:
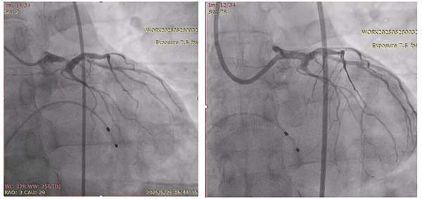
25日上午,“Best of Coronary Cases with the Masters”论坛举行。心脏中心副主任医师张智勇在会上作精彩病例分享,展示了一例左主干支架膨胀不全的高危复杂病变处理策略。该病例由赵林团队主刀完成。面对传统球囊扩张术难以应对的复杂钙化情况,团队创新性地联合应用冠脉旋磨术与震波球囊等多种手段,成功实现支架内充分扩张,确保了治疗的安全性与有效性。张智勇在汇报中深入分析了此类病变的高危特性与结构性挑战,指出单一技术手段存在局限性,并系统阐述了多模态工具在解决支架膨胀不全问题时的协同作用。会议主席David G. Rizik对该病例的复杂程度给予了高度评价,充分认可了朝阳团队在钙化病变综合处理方面的临床策略与操作技巧。

张智勇进行病例分享

术前左主干重度狭窄(左)PCI术后冠脉造影(右)
分享二:
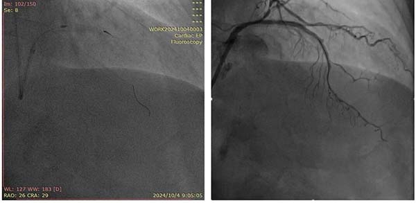
25日下午举行的“Equipment Complications”专题论坛中,心脏中心主治医师李闯汇报了一例复杂冠脉介入术中发生罕见并发症的成功处置病例。该患者患有弥漫性重度钙化冠状动脉病变,在介入治疗期间,突发微导管头端断裂,病情危急,处理难度极大。面对突发状况,赵林团队临危不惧,凭借扎实的技术功底和丰富的术中应变经验,果断采用先进介入策略,精准定位后顺利取出断裂导管,术中未出现任何并发症,最终成功完成支架植入,恢复了冠脉血运。李闯在报告中详细还原了手术全过程,逐层解析每一环节的技术选择与判断依据,展现出临床团队严谨务实、稳中求进的专业素养。大会主席Dr. Andrejs Erglis对该手术的技术难度给予充分肯定,并高度评价了团队在高风险情境下的处理策略与结果。

李闯作病例汇报

微导管头端断裂(左)冠脉血运重建(右)
分享三:
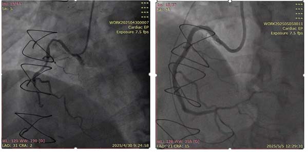
27日上午,在TCT大会“CHIP: CTOs Post CABG”专题论坛上,赵林团队分享了一例极具挑战性的逆向开通术病例。患者为冠脉搭桥术(CABG)术后5年再次发生急性心肌梗死,影像学提示供血静脉桥闭塞,团队决定通过桥血管作为逆向通路,尝试开通原生右冠状动脉(RCA)慢性闭塞病变(CTO)。赵林团队采用逐步推进的Tip-injection技术精准完成逆向路径建立,结合主动迎接技术(Active Greeting Technique, AGT)实现RCA CTO的顺利开通,最终获得良好临床效果。术后讨论环节,与会专家围绕抗栓治疗策略、桥血管的后期管理及术中是否应联合使用左心室辅助装置等关键话题展开热烈交流。

李闯代表团队进行汇报

术前造影提示RCA-CTO(左)RCA开通后血流恢复(右)
分享四:
心脏中心团队不仅展示了精彩病例,还在非侵入性评估领域呈现了一项突破性研究成果。心脏中心主治医师杨绳文在“Novel Insights from Invasive and Non-invasive Assessment of CAD”论坛中,介绍了一项旨在提升慢性闭塞病变(CTO)患者心肌损伤识别的新研究。论坛主席Jin Won Kim教授与Yoshinobu Onuma教授也就FAPI在临床预后评估及未来应用方向提出了极具启发性的问题,进一步推动了关于活化的成纤维细胞活化靶向成像在CTO治疗中的讨论。

杨绳文汇报中心最新研究

18F-FAPI PET-CT较传统影像技术能够识别更多的心肌损伤区域
TCT2025大会上,北京朝阳医院心脏中心冠心病介入团队以三例极具代表性的病例分享与一项创新研究,充分展现了团队在疑难病变处理中的硬核实力与扎实严谨的科研能力。作为国内复杂冠心病综合介入治疗的先行者之一,心脏中心始终坚持临床与科研并重,在持续的技术交流与经验互鉴中,正在加速迈向“国际一流心血管诊疗中心”的目标,在全球心血管介入领域中不断发出属于中国的声音。
心脏中心