您所在的位置: 首页 >>新闻中心 >>医院新闻

医院新闻

无麻微创 即诊即治 即做即走 | 妇科一站式宫腔镜检查护航女性健康

发布时间:2025-11-24 浏览次数:
字号: + -

  2025年11月起,北京朝阳医院妇科推出门诊患者就诊当日即可手术的一站式宫腔镜诊疗模式,有效解决了患者焦灼等待住院、住院时间长及需额外麻醉等就医难题。

2.jpg

什么是一站式宫腔镜检查?

  一站式宫腔镜检查是一种妇科内窥镜手术,通过直径细小的镜子经女性身体自然通道进入宫腔,可直接观察阴道、宫颈管及子宫腔的具体情况,精准诊断并治疗子宫颈管与子宫腔内的病变。该技术兼具无麻、微创的优势,整个过程方便、快捷且安全可控。

3.jpg

一站式宫腔镜的特点和优势

  无需麻醉,即查即走

  门诊宫腔镜检查所用的宫腔镜直径最大仅4毫米,操作简便轻柔,患者通常无明显不适感,多数情况下无需进行宫颈扩张,更无需麻醉。检查结束后稍作休息,便可自行离院,真正实现“即查、即诊、即治、即走”的高效诊疗体验。

  保护隐私,尊重完整

  针对处女膜完整的幼女及少女患者,门诊宫腔镜技术可在不破坏处女膜的情况下完成检查与诊断,既能精准判断病情,又最大程度保护了患者的身体完整性、个人隐私及心理健康,体现了医疗服务的人文关怀。

  适用范围广泛,实现精准治疗

  门诊宫腔镜的适用范围十分广泛,不仅能明确诊断异常子宫出血、子宫内膜病变、宫腔粘连等多种宫腔内疾病,更可在直视下实施精准治疗,兼具“诊断+治疗”双重功能,一次诊疗即可切实解决患者的诸多困扰。

宫腔镜手术后,如何进行术后护理?

  - 密切观察自身状态,重点留意腹痛程度与阴道流血情况,如有异常及时就医;

  - 合理调整饮食结构与生活习惯,避免劳累,促进身体恢复;

  - 术后2周内禁止盆浴及性生活,保持会阴部清洁干燥,预防感染。

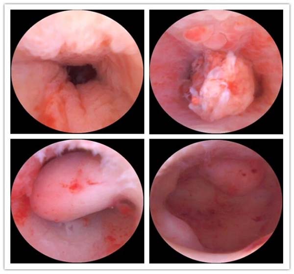
4.jpg

一次性宫腔镜探查影像

  北京朝阳医院妇科开展宫腔镜诊治项目已二十余年,在各类宫腔病变所致异常子宫出血(如子宫内膜息肉、子宫粘膜下肌瘤、子宫内膜异常增生)的诊疗,宫腔异物定位检查,子宫内膜癌早期诊断,以及幼女阴道异常及占位性病变病因检查等方面,均积累了深厚的临床经验,近年来已成功开展上万例宫腔镜手术。

妇科