为90岁以上超高龄患者实施大型肿瘤根治手术,曾被视为胃肠外科领域的“高危禁区”。然而,随着微创技术的成熟和围术期管理体系的优化,这一固有观念正在被逐步颠覆。近日,北京朝阳医院普外中心胃肠外科连续为多名高龄消化道肿瘤患者成功实施微创手术,其中一位93岁局部进展期直肠癌老人的顺利康复,成为现代医学技术造福“银发群体”的生动写照。
紧急时刻:93岁老人遭遇急性下腹痛
近日,93岁的李爷爷(化名)因急性腹痛、便血被紧急送入北京朝阳医院。入院时,老人腹部痛苦难忍。急诊检查结果迅速出炉:直肠乙状结肠交界性恶性肿瘤伴周围渗出,内镜病理回报为中分化腺癌。此时,肿瘤体积较大,患者腹痛症状持续加剧,病情十分危急。摆在医疗团队面前的是两难抉择:保守治疗只能暂时缓解症状,无法根治性切除肿瘤;但为93岁高龄老人实施手术,风险极高,传统开腹手术创伤巨大,术后老人极可能因长期卧床、疼痛应激引发严重并发症,甚至再也无法下床活动。

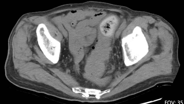
腹盆腔平扫CT显示直肠乙状结肠连接部巨大占位伴周围渗出
“患者年龄确实是重要考量因素,但绝不能成为放弃治疗的理由。”普外中心胃肠外科副主任韩加刚明确表态。科室当即启动“高龄患者多学科诊疗”绿色通道,一场与时间赛跑的救治就此展开。
精密拆弹:微创技术为高龄患者打开生门
由普外中心胃肠外科、麻醉手术中心、消化内科、心内科、重症医学科等多学科专家共同参与的紧急会诊中,一个共识迅速达成:必须尽快手术,但核心原则是“以最小创伤换取最大生存获益”。最终,医疗团队确定采用“腹腔镜辅助直肠癌根治术”,这一微创技术仅需在腹部开几个小孔,置入高清镜头和精细器械,在放大数倍的视野下完成精准操作,可将手术创伤降至最低,最大程度保护老人的身体机能。
手术当天,韩加刚团队凭借娴熟的腔镜技术,在狭小的盆腔内“抽丝剥茧”。由于是局部进展期肿瘤,近端肠管水肿,组织脆弱,稍有不慎就可能导致出血或损伤。手术医生全程屏气凝神,精准完成肿瘤切除、淋巴结清扫等关键操作,出血量极少;麻醉医师则全程紧盯监护仪,密切监测老人的血压、心率等生命体征,根据细微波动精确调控药量,确保手术全过程中老人生命体征平稳。
生命奇迹:术后三天,93岁老人下地行走
手术成功只是第一步。如何让93岁的老人顺利“站起来”,才是真正的考验。术后,一套为高龄患者量身定制的“加速康复外科”方案立即启动。与传统“术后需卧床静养”的观念截然不同,医护人员在术后第一天就协助李爷爷在床上进行肢体被动活动,预防肌肉萎缩和静脉血栓;术后第二天,鼓励并协助他在搀扶下坐于床边,逐步恢复身体力量。
令人惊叹的时刻出现在术后第三天——这位93岁的老人,在家属和护士的搀扶下,缓缓迈开脚步,在病房走廊里完成了术后首次行走!这背后,是微创手术带来的“无痛”体验,是精细化疼痛管理的支撑,是营养团队早期干预的保障,更是多学科协作凝聚的强大力量。精准、全面的照护让老人成功避开了深静脉血栓、肺部感染、肌肉萎缩等高龄患者术后常见的“致命陷阱”。

韩加刚团队与患者李爷爷合影
群像扫描:耄耋之年,他们同样迎来新生
李爷爷的成功康复并非个案。仅在最近一个月内,普外中心胃肠外科已接连收治并成功为多位高龄消化道肿瘤患者实施手术:93岁的刘爷爷顺利完成腹腔镜小肠肿瘤根治性切除手术,80多岁的陈爷爷也成功接受腹腔镜结肠癌根治手术。这些高龄患者普遍伴有高血压、糖尿病、心脏病、慢阻肺等基础疾病,手术难度和风险远超普通患者。但凭借“微创技术+多学科协作+加速康复”这一组合拳,所有患者均未出现严重并发症,术后恢复时间较传统手术缩短近一半。
“我们去了好几家医院,都因为年纪太大被婉拒。到这里后,专家团队愿意为我们搏一把,现在老爷子恢复得这么好,这是医学进步带给我们的福气。”一位家属的感慨,道出了无数高龄患者家庭的心声。
观念革新:高龄不再是手术的“拦路虎”
“很多人认为,90多岁长肿瘤就算了,没必要再折腾。但从医学角度看,只要术前评估科学、术中技术得当、术后管理精细,高龄老人完全可以从手术中获益,获得有尊严、高质量的晚年生活。”韩加刚强调。
这一系列成功案例,折射出我国外科领域的深刻变革:
技术硬核化——腹腔镜、3D高清视野等先进设备的普及,让手术越来越精准,不断突破解剖禁区。
管理协同化——多学科协作诊疗模式已成常态,为每位高龄患者定制“个体化最优方案”,而非单科医生“单打独斗”。
康复人性化——加速康复外科理念深入人心,从疼痛管理、营养支持到早期活动,每一个细节都致力于减少手术对患者的生理和心理冲击。
夕阳无限好,何惧近黄昏。从93岁直肠癌老人的顺利康复,到近期多名耄耋之年老年患者的群体性康复,北京朝阳医院普外中心用专业与坚守证明:在现代医学的守护下,年龄只是一个数字。当先进的微创技术与充满温度的人文关怀深度融合,生命的长度与质量正在被重新定义。这场关于高龄手术的医学革命,正在为越来越多的“银发族”点亮希望之光,让他们在晚年依然能拥抱健康、享受天伦之乐。
普外中心胃肠外科